ALGUNOS DE NUESTROS

CASOS

]

[

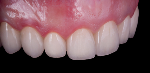
1.

Rehabilitación superior carillas E-max disilicato de litio, técnica sandwich y tablas oclusales y palatinas monobloque en sector posterior sin tallado.

Obsérvese la imagen del 2º bloque lado izquierdo el bisel realizado para garantizar la unión de ambas carillas, vestibular y palatina, de manera perfecta.

LUIS TIRADO

LUIS TIRADO

LUIS TIRADO

LUIS TIRADO

LUIS TIRADO

LUIS TIRADO

LUIS TIRADO

LUIS TIRADO

Dr. Juan Zufía

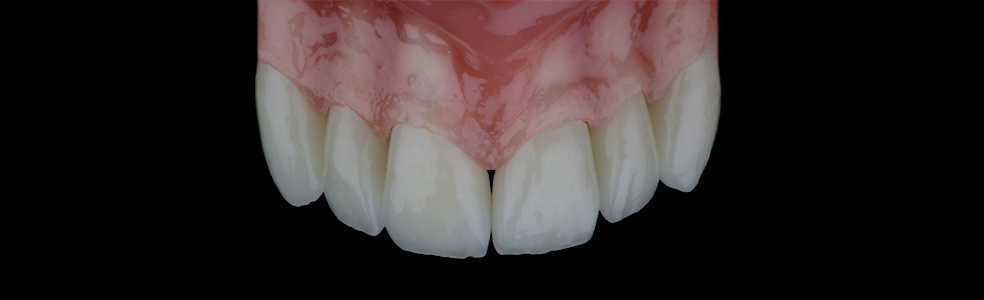
2.

Carillas disilicato de litio estratificación cerámica 11-12-13-21-23, corona 22 disilicato HO estratificada.

LUIS TIRADO

LUIS TIRADO

LUIS TIRADO

LUIS TIRADO

Dr. Juan Zufía

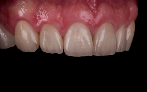
3.

Carillas disilicato de litio E-max + estratificación cerámica de 11-12-13-21-22-23 y coronas monobloque en 24 y 14.

LUIS TIRADO

LUIS TIRADO

LUIS TIRADO

Dr. Juan Zufía

4.

Rehabilitación sobre 6 implantes cementada, diseño de muñones y colados en CR-CO, técnica convencional.

LUIS TIRADO

LUIS TIRADO

LUIS TIRADO

LUIS TIRADO

LUIS TIRADO

Dr. Abel Luis Rodríguez

5.

Rehabilitación superior Zirconio HT.

LUIS TIRADO

LUIS TIRADO

LUIS TIRADO

LUIS TIRADO

Dr. Juan Zufía

6.

Corona en pieza 11 de ZR HT, tanto el hombro como la dentina se inyectó con pastilla ZirPress y posteriormente se estratificaron los esmaltes.

LUIS TIRADO

LUIS TIRADO

LUIS TIRADO

LUIS TIRADO

Dr. Juan Zufía

7.

Corona sobre implante cementado CR-CO cerámica protocolo mediante muñon y prueba de cofia pattern-resine + encerado diagnóstico, resultado predecible.

LUIS TIRADO

LUIS TIRADO

LUIS TIRADO

LUIS TIRADO

Dr. Ricardo Niño

8.

Coronas en disilicato de litio + estratificación cerámica e implate en 25, CR-CO cerámica.

Fabricación de modelo alveolar y encerado diagnostico para total control de papilas y volúmenes.

LUIS TIRADO

LUIS TIRADO

LUIS TIRADO

LUIS TIRADO

LUIS TIRADO

Dr. Juan Zufía

9.

All on four rehabilitación superior-inferior CR-CO cerámica.

LUIS TIRADO

LUIS TIRADO

LUIS TIRADO

LUIS TIRADO

Dr. Fabrizio Bartens

Volver arriba